Live-OP: Volle Pulpotomie an Zahn 25

Georg Benjamin | Zahnarzt, Praxis Kofferdam Berlin & Host des Podcasts "Saure Zähne"

  • Live-OP

Mittwoch, 28. Januar 2026

18:00 Uhr - ca. 21:00 Uhr

Go to Webinar

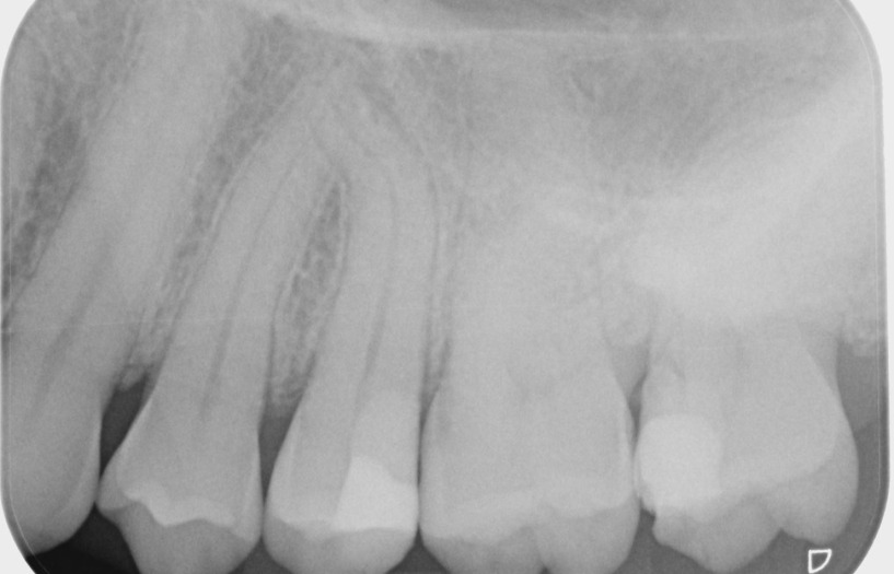
Werfen Sie einen Blick auf das Röntgenbild und seien Sie live dabei am Mittwoch, den 28. Januar 2026 ab 18:00 Uhr.

Behandelnder Zahnarzt: Georg Benjamin

Gemeinsam mit Georg Benjamin, Zahnarzt in der Praxis Kofferdam in Berlin und Host des Podcast “Saure Zähne” laden wir Sie zur ersten Live-OP im neuen Jahr ein. Dabei haben Sie die Möglichkeit, durch den Blick durchs Mikroskop des Zahnarztes die Behandlung zu verfolgen, als auch seine Bewegungen währenddessen von oben zu sehen.

Der Patient

  • 36-jährige weibliche Patientin; stellte sich mit Kälteempfindlichkeit und Beschwerden beim Kauen vor
  • Fluoreszenz mit Flexion Twin Blue unauffällig, Taschentiefen im Normbereich
  • Perkussion und Palpation negativ, Vitalitätsprüfung positiv
  • Zähne 24 und 26 ebenfalls vitalitätspositiv auf Kälte

___________

Die kommentierte Live-Behandlung beginnt um 18.00 Uhr und dauert ca. 180 Minuten. Während der Behandlung haben Sie die Möglichkeit, im Chat Fragen an den Behandler zu richten. Im Anschluss bespricht Georg Benjamin die während der Behandlung aufgenommenen Fotos und steht für Fragen zur Verfügung.

Für die Teilnahme an der Live-OP erhalten Sie 4 CME-Punkte per Zertifikat.

Diese Events könnten Sie ebenfalls interessieren

Seminar

Seminar am 23.01.2026: Achtung Risikopatient - Effektive Schmerzausschaltung mit Lokalanästhetika und Analgetika

23. Januar 2026

van der Ven Event, An den Dieken 65, 40885 Ratingen

profilPicture

Priv. Doz. Dr. med. Dr. med. dent. Frank Halling
Arzt für Mund-, Kiefer- und Gesichtschirurgie
Plastische Operationen, Zahnarzt für Oralchirurgie

Jetzt registrieren

Webinar

Zahnerhaltung und Endodontologie mit biokompatiblen und bioaktiven Materialien - nur ein Hype oder mehr?

18. Februar 2026

GoToWebinar

profilPicture

Prof. Dr. Till Dammaschke | Oberarzt, Poliklinik für Parodontologie und Zahnerhaltung, Universität Münster

Jetzt registrieren

Seminar

Seminar am 25.02.2026: Achtung Risikopatient - Effektive Schmerzausschaltung mit Lokalanästhetika und Analgetika

25. Februar 2026

NH Hamburg Horner Rennbahn, Rennbahnstraße 90, 22111 Hamburg

profilPicture

Priv. Doz. Dr. med. Dr. med. dent. Frank Halling
Arzt für Mund-, Kiefer- und Gesichtschirurgie
Plastische Operationen, Zahnarzt für Oralchirurgie

Jetzt registrieren

Füllen Sie das Formular aus, um Ihre Anmeldung abzuschließen
Kostenfrei anmelden
1/4 Wählen Sie Ihre Anmeldeinformationen

Ihr Passwort muss mindestens enthalten:

8 Zeichen

Eine Zahl und einen Buchstaben

Ein Sonderzeichen

2/4 Geben Sie Ihre persönlichen Daten ein
4/4 Bestätigen

Kostenfrei anmelden

Melden Sie sich jetzt an und erhalten Sie exklusiven Zugang zu:

  • Live-Webinare und Webinar-Wiederholungen. Lernen Sie von Referenten aus der Zahnmedizin, die Experten auf Ihrem Gebiet sind.
  • Fortbildungsinhalte in einer Vielzahl von Formaten, die Ihnen helfen Ihre Fähigkeiten auszubauen und geschäftlichen Erfolg zu erzielen.
  • Unser Programm “Voice of Customer” ist maßgeblich mitverantwortlich, innovative Produkte zu entwickeln, die Ihren Bedürfnissen entsprechen
Erstellen Sie ein kostenloses Profil.
Jetzt anmelden Sie haben bereits ein Profil? Log in
Passwort vergessen?
Geben Sie Ihre E-Mail Adresse an.
Wir senden Ihnen einen Link, mit dem Sie Ihr Passwort zurücksetzen können.
Abbrechen
Abonnieren Sie unseren Newsletter